Our Foot & Ankle Services
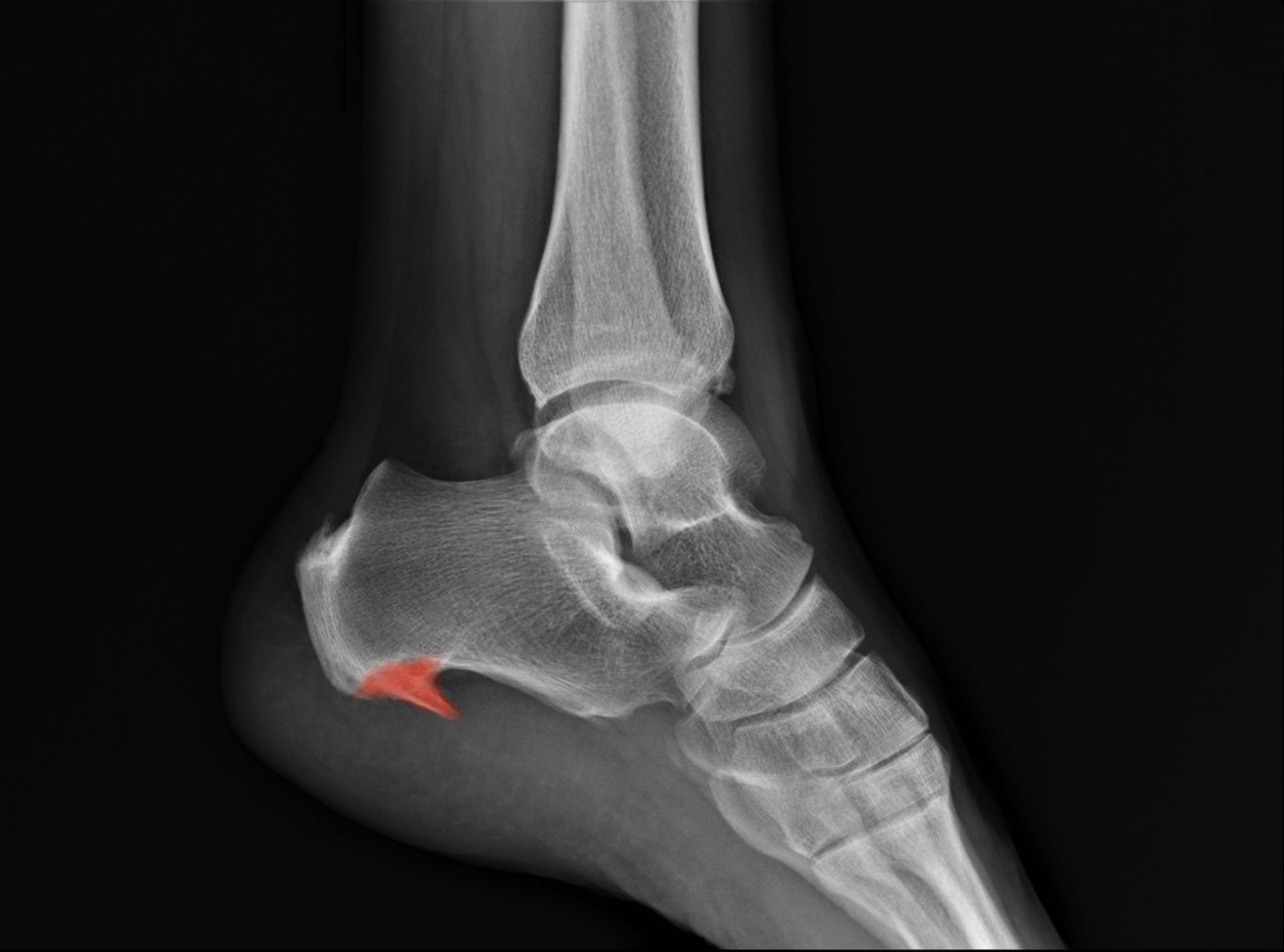
Podiatric medicine focuses on the diagnosis and treatment of conditions affecting the foot, ankle, and lower leg. Podiatrists use proven, hands-on approaches to evaluate symptoms, identify the source of pain, and provide effective treatment options. Care may include preventive services, custom orthotics, therapeutic treatments, medications, and surgical solutions when needed, all aimed at improving comfort, mobility, and overall foot health.
















